leigh综合征

容易误诊为重症肌无力的leigh综合征_医学界-助力医生临床决策和职业
图片尺寸565x616
14岁女孩缇娅•利(tia leigh)患有遗传性神经纤维肿瘤病1型(nf1)
图片尺寸634x845
精彩看点 | 宋丽芳副主任医师:leigh 综合征
图片尺寸558x417
精彩看点 | 宋丽芳副主任医师:leigh 综合征
图片尺寸558x417
一文读懂:leigh综合征_医学界-助力医生临床决策和职业成长
图片尺寸539x414
leigh综合征的 临床和病理分析
图片尺寸1080x810
乳酸血症及卒中样发作(melas),亚急性坏死性脑脊髓病(leigh综合征),眼
图片尺寸1080x607
精彩看点 | 宋丽芳副主任医师:leigh 综合征
图片尺寸558x419
鉴别诊断leigh综合征需要和其它线粒体疾病,病毒性脑炎,急性播散性脑
图片尺寸1080x1453
leigh综合征,你了解吗?_腾讯新闻
图片尺寸639x523
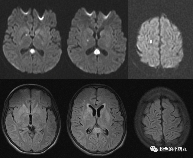
leigh综合征的mri表现
图片尺寸893x1208
癫痫(epilepsy) 在leigh氏综合征的早期可能与肌阵挛性癫痫发作混淆.
图片尺寸756x819
leigh 综合征诊断,鉴别诊断要点一览
图片尺寸640x668
leigh综合征丨脑mri表现,诊断及鉴别诊断
图片尺寸596x1391
精彩看点 | 宋丽芳副主任医师:leigh 综合征
图片尺寸558x419
leigh综合征的mri表现
图片尺寸893x1208
精彩看点 | 宋丽芳副主任医师:leigh 综合征
图片尺寸558x419
乳酸血症及卒中样发作(melas),亚急性坏死性脑脊髓病(leigh综合征),眼
图片尺寸1080x607
leigh综合症幻灯片ppt
图片尺寸800x600
leigh综合征丨脑mri表现,诊断及鉴别诊断
图片尺寸598x1115