mallory染色

【求助】mallory小体
图片尺寸504x332
mallory磷钨酸苏木素染色液ptah自然氧化法试剂盒
图片尺寸850x850
mallory磷钨酸苏木素染色液(ptah化学氧化法)(试剂盒)
图片尺寸850x850
【求助】mallory小体
图片尺寸369x246
急性酒精性肝炎:mallory小体,肝细胞坏死,胶原沉积,脂肪变
图片尺寸504x331
病理学技术—特殊染色最最全总结(均配图)
图片尺寸893x468
活检显示肝细胞内脂质积聚导致严重的脂肪变性(上)(苏木精和伊红染色
图片尺寸632x1000
iron - prussian blue reaction - mallorys method
图片尺寸770x587
几种特殊染色
图片尺寸1080x810
物质特染方法结果结缔组织染色法mallory三色染色法胶原和网状
图片尺寸673x1037
样变,可见脂肪样夹杂细胞肉芽肿,少数气球样变细胞,并见mallory小体
图片尺寸1024x768
mallory三染色,masson三染色 2.神经纤维的镀银染色 3.
图片尺寸1077x808
典型的酒精肝病理变化:气球样变,mallory小体,大量中性粒细胞浸润为
图片尺寸600x450
he,masson,番红o,nissl,mallory等染色方法很少有掉片现象;免疫庄化
图片尺寸960x480
mallory 三色染色试剂盒
图片尺寸800x800
figure 1. mallory‘s trichrome stain
图片尺寸484x485
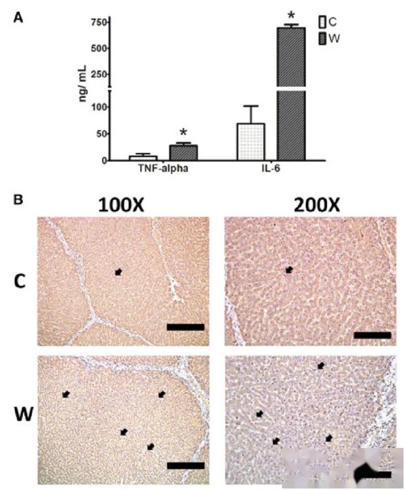
蛋白芯片jnutrbiochem文章解析抗体芯片在非酒精脂肪肝
图片尺寸800x967
70元/样 masson染色 mallory三色染色改造,利用两种或三种阴离子染料
图片尺寸700x700
区轻度炎症,少量点灶状坏死,可见少数肝细胞气球样变,可见mallory小体
图片尺寸572x429
细胞浸润为主,脂肪样变不明显,未见中央区肝细胞水肿,未见mallory小体
图片尺寸452x338