mdck细胞形态

uu们,mdck细胞长成这样是怎么回事啊
图片尺寸744x1324
mdck细胞这是怎么了,感觉状态不好.
图片尺寸1080x1920
mdck狗肾细胞形态问题中间有圆圈
图片尺寸1276x1702
mdck细胞形态是这样吗
图片尺寸3024x4032
mdck细胞无血清培养基nc0201
图片尺寸300x300
【求助】mdck2形态 - 细胞技术讨论版 -丁香园论坛
图片尺寸3264x2448
nc0201mdck无血清细胞培养基
图片尺寸300x300
mdck细胞无血清培养基nc0201
图片尺寸300x300![犬肾细胞;mdck[nbl-2]细胞](https://imgs.wantubizhi.com/img/735A5D1F980B52A636CC46F12F2D1A73E9D1A90181402EA86AB1E57FF15D7F0CEC143AA578B3BA4BB2477B91CF9090437BECF68597B7E56E12C74ABBEF35C46CA6642AA6DC1640AC9303FBAE835F1215651238001EA6622D30FBAE65A2AA4CFB)
犬肾细胞;mdck[nbl-2]细胞
图片尺寸292x275
mdck细胞无血清培养基nc0201
图片尺寸300x300
nc0201mdck无血清细胞培养基
图片尺寸300x300
杂项细胞犬正常肾细胞mdck
图片尺寸2040x1528
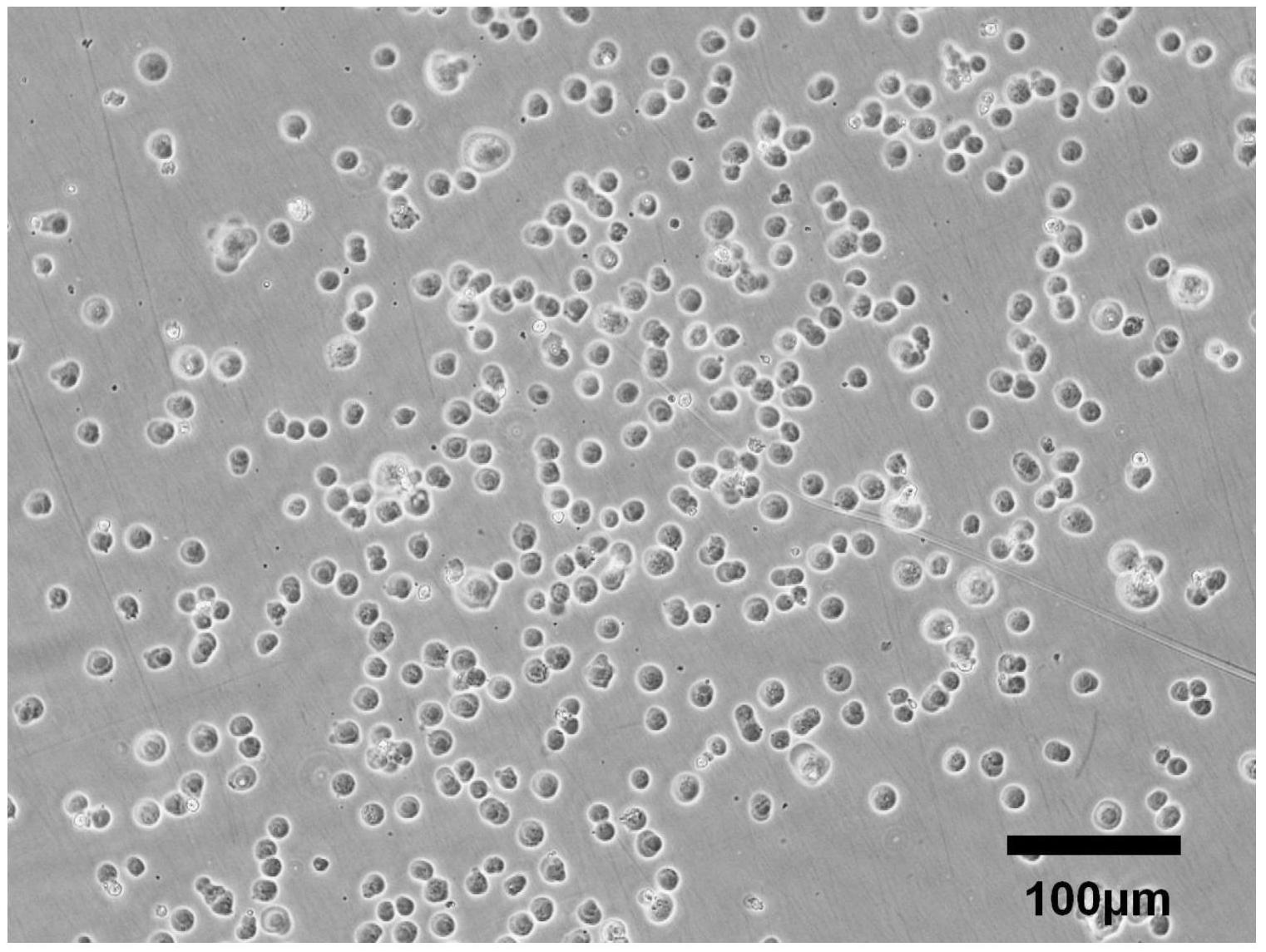
mdck细胞,相差显微镜
图片尺寸1196x796
无血清悬浮培养型mdck细胞株及其应用的制作方法
图片尺寸1000x473
mdck 狗肾转化细胞
图片尺寸1385x887
【原创】我养的mdck - 细胞技术讨论版 -丁香园论坛
图片尺寸1024x768
mdck细胞的应用
图片尺寸350x280
用mdck细胞培养副流感病毒的初步尝试
图片尺寸874x567
一种用于全悬浮培养mdck细胞的无血清培养基及其制备方法与流程
图片尺寸1000x778
cn106011083b_一种在无血清全悬浮培养的mdck细胞生长的禽流感病毒的
图片尺寸1522x1145