monteggia骨折

课后发布儿童孟氏骨折monteggia骨折影像学诊断
图片尺寸1280x720
儿童 monteggia 骨折 10.
图片尺寸500x449
【课后发布】儿童孟氏骨折(monteggia 骨折) 影像学诊断
图片尺寸1280x720
【课后发布】儿童孟氏骨折(monteggia 骨折) 影像学诊断
图片尺寸1280x720
孟氏骨折脱位
图片尺寸960x720
【课后发布】儿童孟氏骨折(monteggia 骨折) 影像学诊断
图片尺寸1280x720
【课后发布】儿童孟氏骨折(monteggia 骨折) 影像学诊断
图片尺寸1280x720
13,monteggia 骨折
图片尺寸336x327
儿童陈旧性孟氏骨折的外科治疗
图片尺寸300x220
儿童创伤-警惕漏诊儿童孟氏骨折/monteggia - 好大夫在线
图片尺寸1643x702
battista monteggia(1762-1815)首先命名这类骨折
图片尺寸931x1024
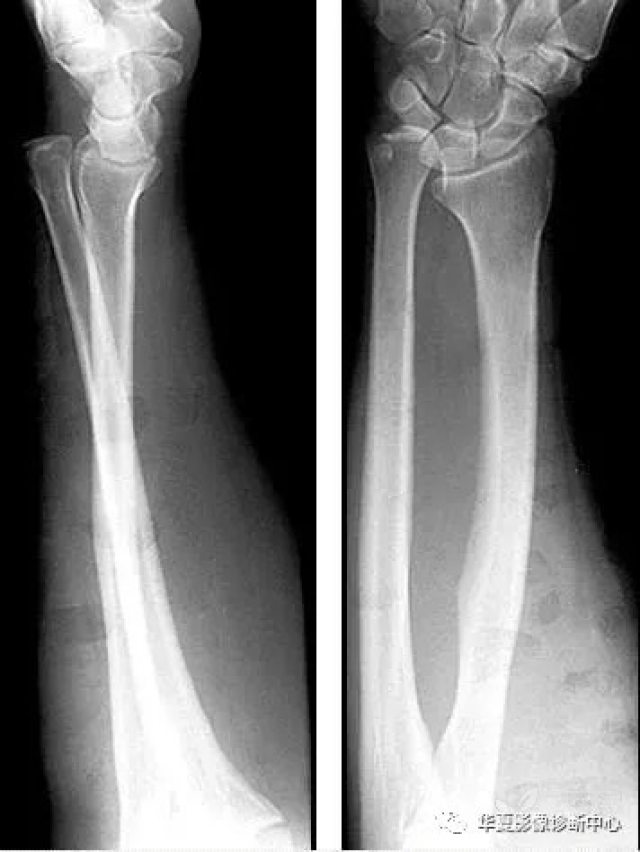
【课后发布】儿童孟氏骨折(monteggia 骨折) 影像学诊断
图片尺寸1280x720
(来源:radiopaedia)(来源:radiopaedia)成人 monteggia 骨折儿童
图片尺寸600x600
医生monteggia在1914年最早报道此类骨折,所以也称之为monteggia骨折
图片尺寸500x667
monteggia骨折及脱位
图片尺寸971x400
图7. monteggia 骨折 jupiter 分型
图片尺寸640x571
儿童孟氏骨折monteggia的诊断与治疗
图片尺寸1536x1056
上肢5 种特殊骨折,记好分清收起来
图片尺寸640x852
孟氏monteggia骨折的分型与治疗
图片尺寸573x388
monteggias骨折的分型,机制及诊断
图片尺寸1445x2001