mri图像

小儿头部mri讨论
图片尺寸3039x2948
术前mri t2
图片尺寸1226x1632
术前mri平扫 增强
图片尺寸4032x3024
大脑mri矢状
图片尺寸980x1200
大脑mri影像(冠状面)
图片尺寸990x720
典型颅脑mri病变海绵状血管瘤有讲解
图片尺寸1632x1224
mri扫描图像
图片尺寸1115x1100
小儿头部mri讨论
图片尺寸3090x2795
颅脑mri-t2
图片尺寸1199x928
我院30t高场强mri临床应用
图片尺寸692x740
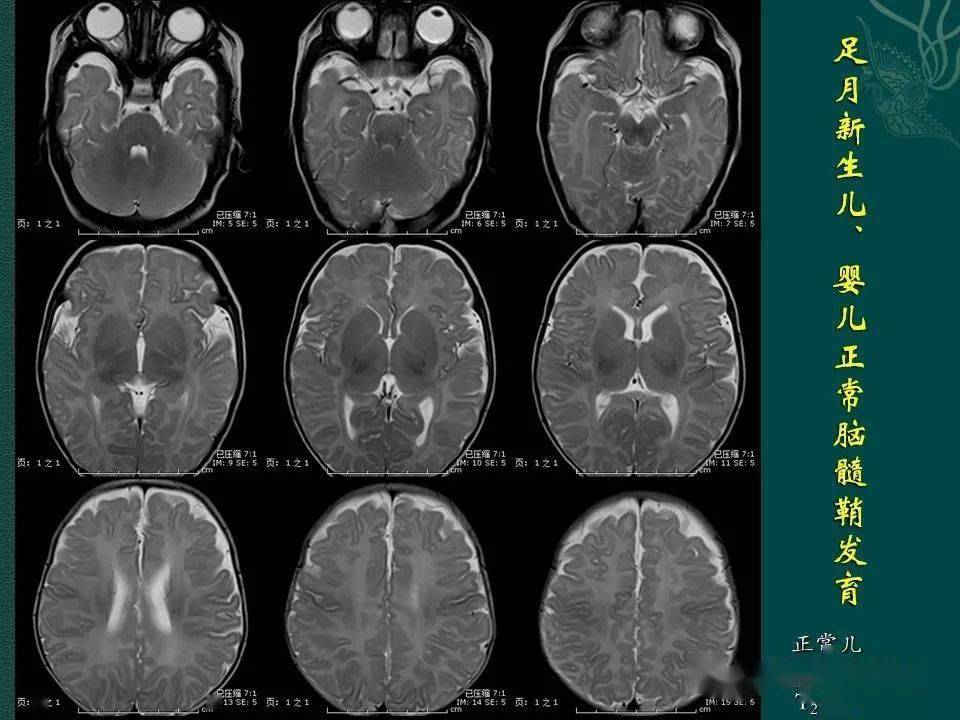
足月儿及婴儿神经系统发育mri
图片尺寸960x720
写美篇 升级后图像 mri提供的信息量大于医学影像学
图片尺寸1199x1199
颈椎mri
图片尺寸3556x2000
病毒性脑炎的mri诊断
图片尺寸769x576
什么样的mri图像才是好图像!
图片尺寸792x463
颅脑 mri 检查轴位 t2wi 图像显示小脑蚓部,双侧小脑半球,脑桥
图片尺寸630x630
小儿头部mri讨论
图片尺寸3054x2961
mri 示右侧颞叶手术切除术后表现 图选项 下载全尺寸图像 下载
图片尺寸2756x1831
mri增强冠状位.jpg
图片尺寸1664x1536
头颅mri平扫 增强
图片尺寸1268x1252