neuroimage

com/neuroimagejcr分区:q1中科院分区:大类1区,小类1/2区发文类型
图片尺寸576x768
neuroimage自动解剖标记图谱第三版
图片尺寸864x589
neuroimageneuroimage 是一本关注脑功能的期刊,旨在为了解借助神经
图片尺寸576x768
2.neuroimage:静息态fmri在阿尔茨海默症患者分类的应用doi: 10.
图片尺寸864x464
朱朝喆课题组在neuroimage提出经颅功能脑图谱ftba
图片尺寸1080x607
teaching neuroimages: neuroimaging in hemiplegic migraine.
图片尺寸499x556
neuroimage静息态功能磁共振成像估计脑熵的神经认知相关性
图片尺寸554x313
teaching neuroimages: noninfectious cyst as an unusual
图片尺寸1280x1276
neuroimage: 创造性思维能够激发大脑神经回路
图片尺寸446x340
neuroimage脑网络分析揭示社交焦虑症患者的大脑功能环路异常
图片尺寸1080x583
neuroimage基于脑电和结构mri的ad和轻度认知障碍机器学习分类研究
图片尺寸544x431
& biobehavioral reviews, trends in neurosciences, neuroimage
图片尺寸1269x798
【图】心理所研究揭示不同认知控制过程的时程和频谱特性(组图)
图片尺寸467x373
neuroimage左右脑功能层级结构的不对称性规律
图片尺寸660x323
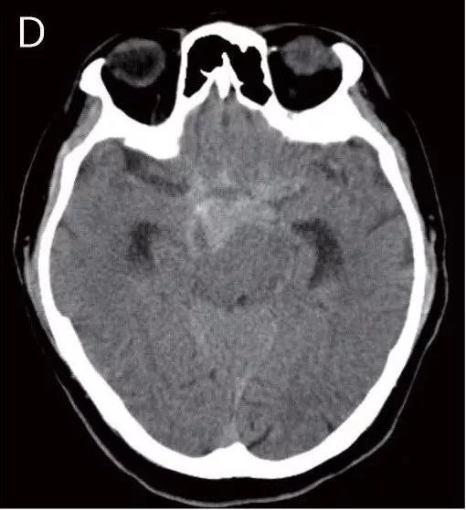
teaching neuroimages: vertebrobasilar dolichoectasia with
图片尺寸510x559
科研速递 | 张敏鸣教授团队联合多国学者发表综述:推
图片尺寸1080x582
teaching neuroimages: basal ganglia involvement in facio
图片尺寸1800x1080
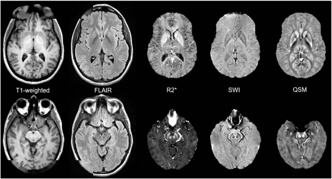
neuroimage磁共振3d梯度回波磁化转移序列同时对铁和神经黑色素进行
图片尺寸1270x714
这是一篇发表在 neuroimage 关于婴儿大脑影像重建的文章,文章采用了
图片尺寸1242x718
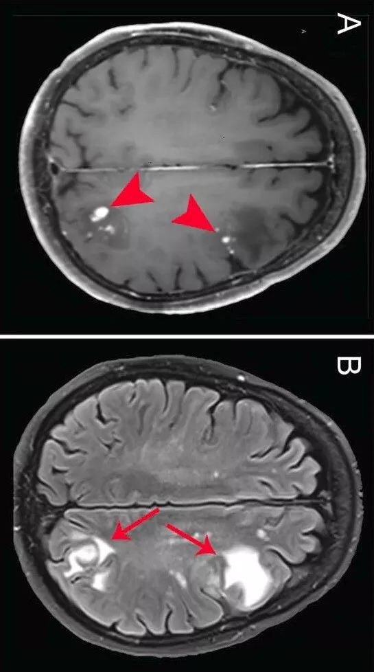
teaching neuroimages: intracranial foreign body reaction after
图片尺寸545x978