nga遗传27图

请你根据所学生物学知识,写出他们生一个健康,正常男孩的遗传图解,并
图片尺寸398x248
生物遗传图解怎么画
图片尺寸562x453![[史上最强生物课件]复习必修二遗传的基本规律—性别决定与伴性遗传1](https://imgs.wantubizhi.com/img/735A5D1F980B52A636CC46F12F2D1A73B789BB925B0B1F1130D67C3C4E5859F75A6B36DE30C8D033ABCAC75F0BBFF0FCC10F3DA5BD37C8C50C51FA54F776EACE7F61CFD6372C6FC843DEBAACEFFCA84E461D9D637E44D24E00AAC4732DCB46F4)
[史上最强生物课件]复习必修二遗传的基本规律—性别决定与伴性遗传1
图片尺寸1080x810![[史上最强生物课件]复习必修二遗传的基本规律——自由组合规律_2010.](https://imgs.wantubizhi.com/img/ADDA3C5D760C6828B77B505A29D43E83E0F55466CA28771CCAC124FC5EEE215C7A14994EFF441D4FF5B1587294866A7297609AFA9566CD1408A351717FC2B73C6D064934955560C438DF66D2B9D77617162326EF6D18C0DAF175F2CD7A5B7C0A)
[史上最强生物课件]复习必修二遗传的基本规律——自由组合规律_2010.
图片尺寸1080x810
图表示人的耳垂性状(已知控制有耳垂的显性基因为a)遗传图解.
图片尺寸321x256
遗传谱图
图片尺寸1600x1190
4人的性别遗传ppt课件3
图片尺寸1080x810
医学遗传中心
图片尺寸538x330
但也有特别的存在,虽然也遗传失败,但网友们都嫉妒到不行:这肯定不是
图片尺寸450x341
请完成下列遗传图解.亲代父亲母亲aa(有耳垂)aa(无耳垂)生殖
图片尺寸335x311
p>遗传图(genetic map),又称为连锁图((linkage map),是指基因或dna
图片尺寸410x266
初二下册生物显性与隐性的遗传图,怎么画,比如有酒窝d,无酒窝为d,机率
图片尺寸600x454
亲代紫花紫花后代紫花白花如图是豌豆花色的遗传图解,请据图分析回答
图片尺寸417x241
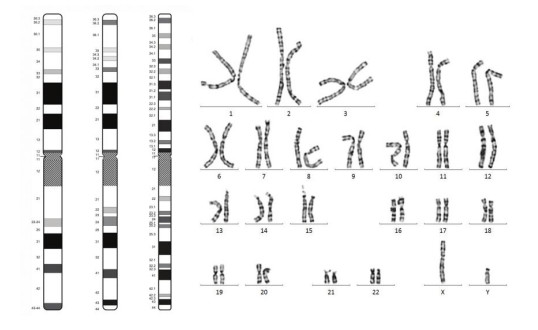
c235delc杂合变异遗传吗第三册第八章第三节变异重点讲解染色体畸变
图片尺寸720x960
遗传算法通过自然选择进行搜索和优化
图片尺寸1280x1280
遗传定律练习题总结答案ppt
图片尺寸1080x810
这对夫妇的控制眼皮的这对基因的遗传图解如图所示
图片尺寸388x257
下列关于红绿色盲遗传的叙述中,错误的是( ) a.有隔代遗传现象 b.
图片尺寸1199x917
algas
图片尺寸320x356
生物遗传图解 会的进
图片尺寸1280x960