nobel种植牙

诺贝尔种植牙
图片尺寸1080x1439
63岁的陈叔采用即刻植入6颗nobel active种植体
图片尺寸600x344
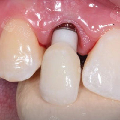
美学区微创不翻瓣即刻负重的nobel种植体病例
图片尺寸567x364
瑞典nobel诺贝尔cc种植牙适用什么症状?半口牙缺失可以用吗?
图片尺寸300x300
种植牙可能进医保吗 种植牙为什么会这么贵
图片尺寸673x412
瑞典诺贝尔nobel种植牙示意图
图片尺寸500x498
瑞典诺贝尔种植牙
图片尺寸457x700
nobelactive种植牙愈合时间短是诺贝尔植体的优点之一
图片尺寸600x284
前牙种植
图片尺寸2429x1651
才结束的nobel种植一例病例成都牙医白驹
图片尺寸620x515
原创博客病例展示nobel上颌后牙游离缺失种植修复
图片尺寸640x475
种植牙哪种品牌好nobel种植系统怎么样
图片尺寸694x480
种植牙治疗案例部分图集——贝洁口腔微分享
图片尺寸1369x910
美学区微创,不翻瓣,即刻负重的nobel种植体病例--滕立钊
图片尺寸620x431
2021厦门种植牙价格表更新!
图片尺寸400x400
nobel种植牙
图片尺寸300x300
全口种植牙一般流程_牙齿种植_介绍_治疗方式 - 好大夫在线
图片尺寸1037x1842
【malo clinic】nobel单颗种植牙套餐
图片尺寸1080x1375
25岁拥了一颗诺贝尔cc种植牙门牙前牙美学即刻种植价格贵但是值
图片尺寸499x687
植牙君分别挑选了:德国icx种植体,瑞士iti种植体,瑞典nobel种植体来给
图片尺寸640x461