omom胶囊内镜

胶囊内镜的工作原理是:孩子吞入"糖丸"后,在胃肠动力作用下自行在胃肠
图片尺寸547x407
胶囊内窥镜厂家omom胶囊胃镜胶囊式内窥镜系统meiii型
图片尺寸1080x1440
我院新引进的omom胶囊内镜
图片尺寸800x759
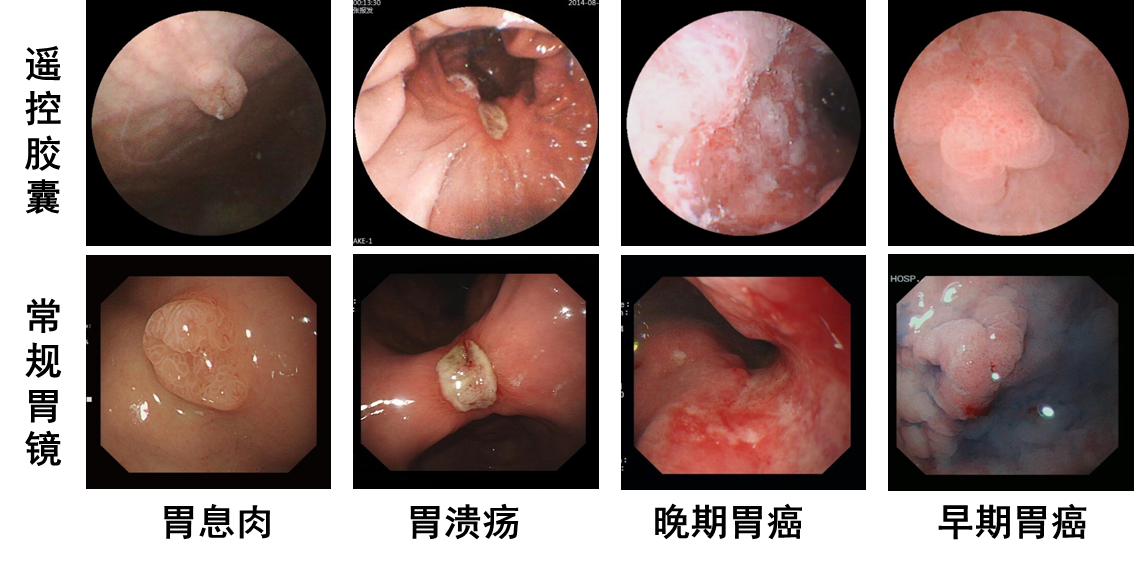
什么情况下做胶囊内镜检查
图片尺寸1134x565
金山omom胶囊内镜
图片尺寸600x830
胶囊内镜——小身材大用途
图片尺寸640x640
消化道里的侦察兵胶囊内镜
图片尺寸807x500
【二手9成新】omom胶囊内镜 /李兆申 上海科学技术出版社
图片尺寸800x800
omom胶囊内镜 李兆申 保证正版
图片尺寸310x310
omom胶囊内镜(精)
图片尺寸600x864
omom超高清胶囊内镜sc100
图片尺寸500x281
科普一粒儿胶囊内镜的内心独白
图片尺寸1080x640
胶囊内窥镜厂家omom胶囊胃镜胶囊式内窥镜系统meiii型
图片尺寸1080x1440
胃镜一粒胶囊就能搞定不插管不麻醉15分钟随做随走
图片尺寸640x1319
行走在消化道中的数码相机——胶囊内镜
图片尺寸600x397![胶囊内镜图片,大家看这是什么? [病例帖]](https://imgs.wantubizhi.com/img/735A5D1F980B52A636CC46F12F2D1A73814A6E2B6053501352B3409D1C4C42E04C541E6CC5705CEA6DA5A4DC4E063FFE50D4CF9DE97C22BAC72725FB13FCB77CA805FD174F304915DD2F9DEA0696800C3ACCBF596F669F2E9CCC4EC019E85BAE)
胶囊内镜图片,大家看这是什么? [病例帖]
图片尺寸2448x3264
哈医大一院消化内科专家应用胶囊内镜为小肠肿瘤诊断提供精准手段
图片尺寸501x364![胶囊内镜图片,大家看这是什么? [病例帖]](https://imgs.wantubizhi.com/img/A1A61BAA66193547F3A6DD7D8EE527E9E97C025965106B8E55EB1E19FB88861ECEC607E5E7636BB4D5BE42B4FF151A68A8219089A66D71EEC14B62800CD5E0E693FF3C95764DE64C6B077917407607F6C500A04C7ABB7809E6A37751925FDC4E)
胶囊内镜图片,大家看这是什么? [病例帖]
图片尺寸2448x3264
科普一粒儿胶囊内镜的内心独白
图片尺寸1076x732
我院新引进的omom胶囊内镜
图片尺寸800x533