paget

paget
图片尺寸1046x1400
病历分享Ⅰ70岁老年男性阴囊paget病手术治疗过程分享
图片尺寸3072x4096
paget
图片尺寸1024x768
肛周恶性 paget病病损切除及"v-y"皮瓣成形术_直
图片尺寸1600x1200
帕姬·布鲁斯特 paget brewster的图片
图片尺寸1080x1619
克拉拉·佩吉特 clara paget的图片
图片尺寸883x1200
打印纸
图片尺寸600x390
【二手95新】伯爵 paget altiplano g0a32534 手动
图片尺寸800x800
全球第 4 例:头部异位性乳房外 paget 病
图片尺寸602x674
letters
图片尺寸307x400
帕姬·布鲁斯特 paget brewster的图片
图片尺寸1024x768
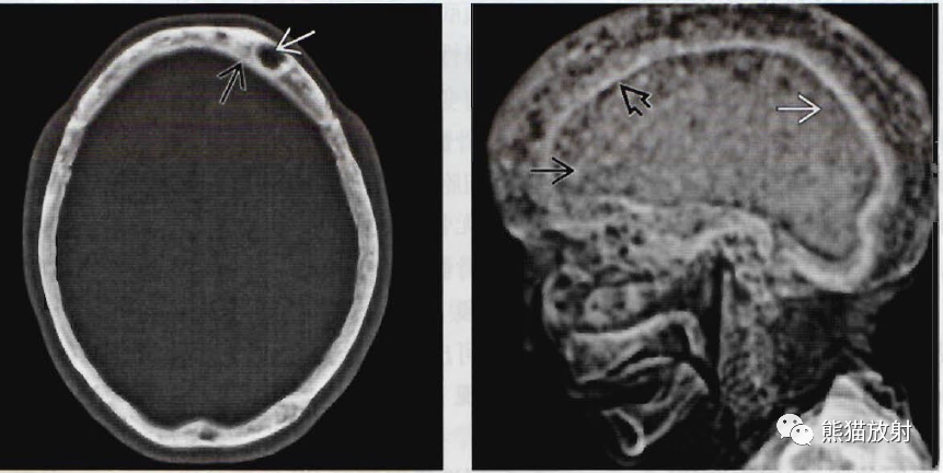
颅骨纤维结构不良,paget病丨影像诊断相关要点_医学界
图片尺寸861x432
paget骨病,又称畸形性骨炎或变形性骨炎,为一种罕
图片尺寸1240x892
talking dead season 5
图片尺寸300x465
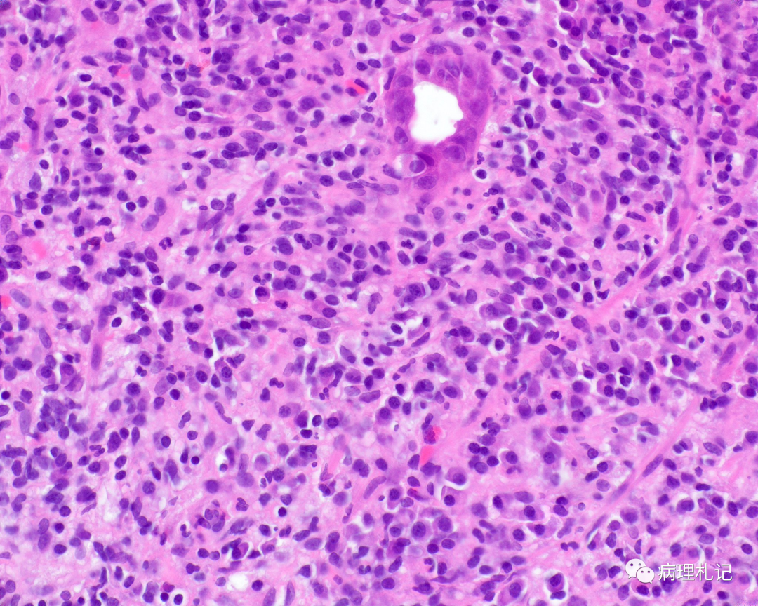
骨肿瘤样病变的影像学诊断之paget病与abc
图片尺寸1080x810
结肠附近皮样囊肿合并乳腺外paget病的有趣病例_医学
图片尺寸1080x864
生活照 #0003
图片尺寸500x752
帕姬·布鲁斯特 paget brewster的图片
图片尺寸1024x768
365 days of sensational sex
图片尺寸294x453
mother of pearl 这款 "paget" t 恤采用飘逸流畅
图片尺寸700x1050