pdwi

pdwi常可较好地显示血管结构
图片尺寸1080x810
如何简单理解认识mri图像
图片尺寸640x480
医学 颈动脉间隙肿瘤的影像诊断ppt 右口咽旁颈动 脉体瘤 t1wi pdwi
图片尺寸1080x810
磁敏感加权成像swi详细临床应用
图片尺寸695x1572
在关节扫描中,大部分fs序列都是扫描间于pdwi与t2wi间的中间权重序列.
图片尺寸640x348
磁敏感加权成像swi详细临床应用
图片尺寸697x477
fse pdwi-fs
图片尺寸1080x810
医学成像原理nmrmri成像基础
图片尺寸934x505
决 定,其形成的图像为质子密度加权像(proton density image, pdwi)
图片尺寸1080x810
下部,常位于前联合两侧);上图示:(a)pdwi示双侧前穿质高信号区域(箭)
图片尺寸837x500
question-双回波fse:双回波fse序列如何工作?
图片尺寸800x494
较高的质子密度和非常短的t1值, t1wi,t2wi和pdwi图像上均呈高信号
图片尺寸800x480
怎么看mri序列及信号 常用序列:t1wi t2wi pdwi
图片尺寸1080x810
ir脉冲序列:flair flair用于t2wi和pdwi中抑制脑脊液的高信号,使
图片尺寸1080x810
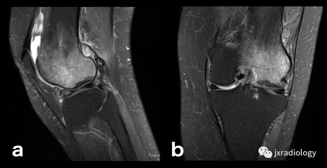
收藏膝关节骨髓水肿影像综述
图片尺寸1080x557
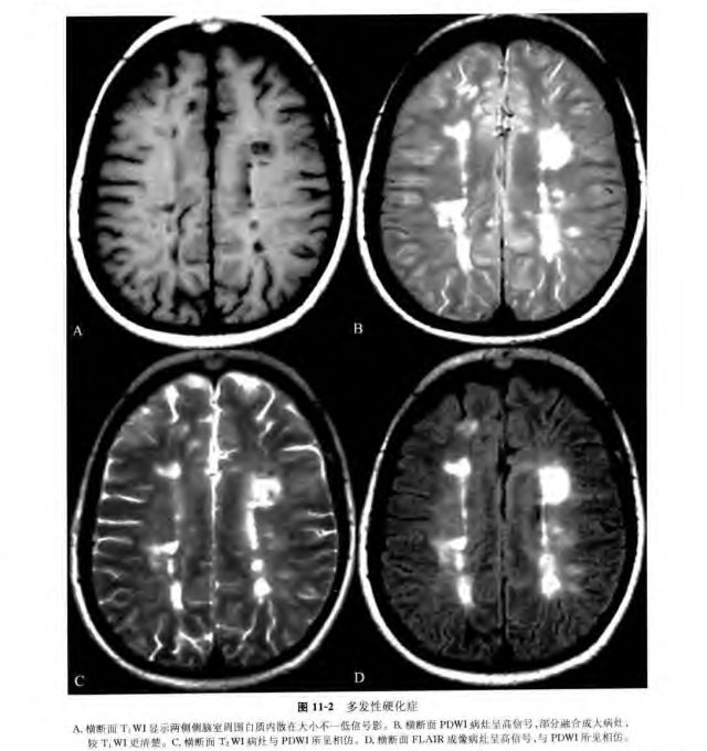
多发性硬化的康复治疗
图片尺寸640x680
图1:女,46岁,gtps;冠状位脂肪抑制pdwi像示臀中肌(白箭)和臀大肌(黑箭
图片尺寸911x888
因此,临床上怀疑 msa 而普通 mri 正常的患者,必要时可进一步行 pdwi
图片尺寸640x518
独特成像:t1磁化传递对比成像在多发性硬化中的应用
图片尺寸640x230
颞颌磁共振检查
图片尺寸530x349