pet mri

【盘点】pet-mri国内外品牌知多少?
图片尺寸720x540
pet-mr检查有哪些功效和风险?
图片尺寸1200x612
斯坦福大学医学院的pet-mri
图片尺寸600x434
pet-mri融合提示右侧额颞岛叶广泛的fdg低代谢.
图片尺寸1436x991
pet磁共振,检查痴呆作用大
图片尺寸3249x3249
0t signa pet-mri-河南天佑中西医结合肿瘤医院
图片尺寸615x346
pet 磁共振合二为一的全球首台pet/mri在我院落户!
图片尺寸529x332
pet磁共振检查的优势及疾病检查范围
图片尺寸3249x3249
比pet-ct还"厉害"的pet-mri,肺癌患者有必要做吗?
图片尺寸600x411
d套餐(含pet-mr)
图片尺寸2944x1965
pet-mri的pet-mri诊疗优势
图片尺寸400x406
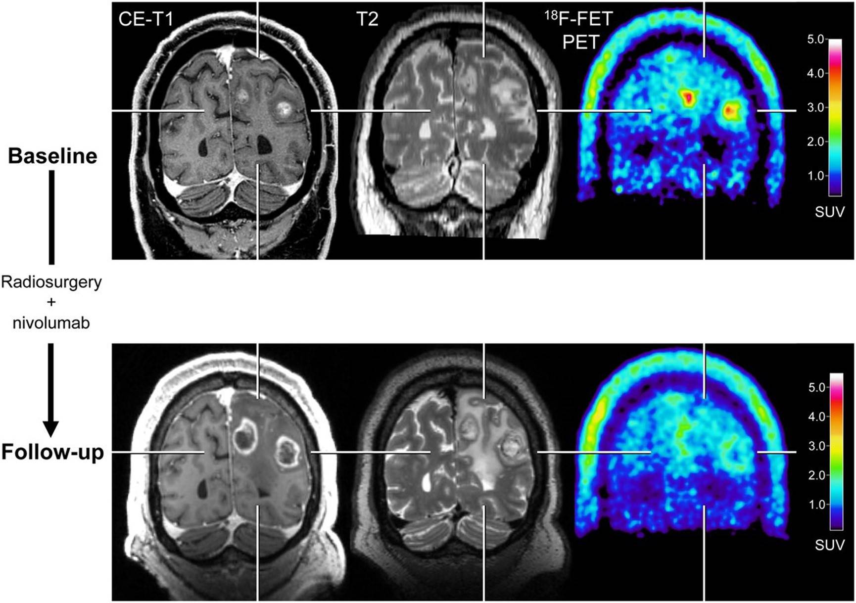
pet显示代谢活性显著降低(tbrmean,6128%),尽管根据irano标准,mri
图片尺寸1730x1219
psma pet-ct/mri检测,让前列腺癌微小病灶无处遁形!
图片尺寸1200x612
患者头部 pet-mri 影像融合 左侧颞叶内侧病变(黄色箭头)
图片尺寸2756x1246
融合mri信息的pet图像去噪: 基于图小波的方法
图片尺寸3150x1719
北京宣武医院再现petmri重磅科研成果
图片尺寸905x517
【学术】王梅云教授团队 | pet/mr在肺癌诊断分型中的应用_细胞_亚型
图片尺寸865x673
筛查肿瘤的神器昆明高尚医学影像诊断中心petct
图片尺寸1045x929
petmr
图片尺寸640x465
让百姓享受更多高端医疗福利:pet-ct分子影像基地正式落户江都人民
图片尺寸1024x963