petct报告单

西安市人民医院西安市第四医院航天城院区医学影像中心开展全身类pet
图片尺寸689x465
发布高建英主任petct在肿瘤远处转移中的临床应用
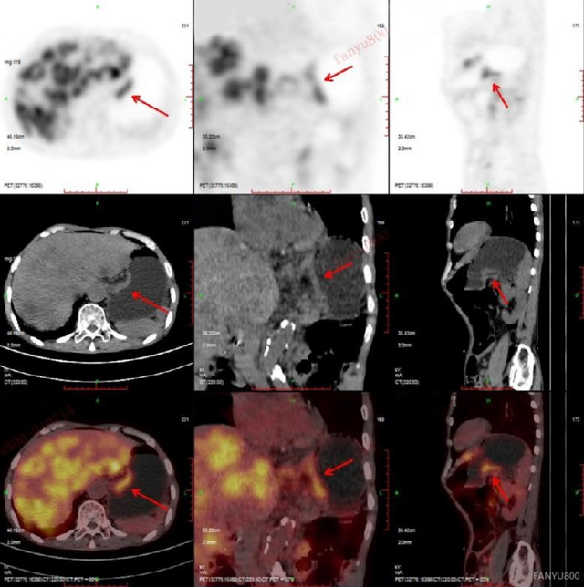
图片尺寸960x720
发布高建英主任petct在肿瘤远处转移中的临床应用
图片尺寸960x720
西安市人民医院西安市第四医院航天城院区医学影像中心开展全身类pet
图片尺寸797x411
便民服务petct检查前后要注意什么这5点要牢记
图片尺寸381x508
petct检查小知识您想了解的都在这里
图片尺寸700x894
查瘤神器petct进深圳医保了最高报销95
图片尺寸600x330
pet/ct检查只要10到15分钟左右,但前期需要有非常细致精确的准备,最终
图片尺寸800x665
petct真是神器癌症领域的福尔摩斯
图片尺寸640x644
petct真是神器癌症领域的福尔摩斯
图片尺寸640x644
精准医疗引领未来全省首台全真数字化petct落户黑龙江省医院
图片尺寸850x637
【高尚病例】pet-ct/mri多模态检查实现"一站式"诊断_病变_融合_临床
图片尺寸1080x1080
可以应完善相关的检查工作,如胸部x线检查,胸部ct检查,或胸部磁共振
图片尺寸600x658
发布高建英主任petct在肿瘤远处转移中的临床应用
图片尺寸960x720
查瘤神器petct进深圳医保了最高报销95
图片尺寸600x600
吸烟40年会得肺癌吗petct在他肺里到底看到了什么
图片尺寸1080x859
【新闻】遵义医科大学附院 | pet-ct检查突破千例
图片尺寸695x580
petct suv值
图片尺寸220x153
左:单纯良性椎体压缩性骨折患者(男,62岁)18f-fdg pet/ct显像图.
图片尺寸722x354
17 psma spect:前列腺癌治疗后,前列腺psma表达略增高同前相仿;左侧
图片尺寸658x424