petct suv值

危言耸听一次petct等于30年辐射
图片尺寸1080x706
petct淋巴结suv值最高172一定是淋巴瘤吗
图片尺寸648x960
11c-蛋氨酸pet/ct在脑干胶质瘤诊断及治疗中的价值 |【中华神外】2018
图片尺寸562x245
petct结果多处淋巴结肿大suv值高
图片尺寸600x800
picco参数正常值
图片尺寸920x1302
老公的petct报告出来了suv值好高担心
图片尺寸800x1004
买车参考汽车保值率排行榜suv篇
图片尺寸1080x1439
患者咳嗽咳痰1月余petct诊断原发性肺滑膜肉瘤
图片尺寸1080x1080
小细胞肺癌4r淋巴结petctsuv值升高能否作为疾病进展的判断指标此情况
图片尺寸1080x608
老公的petct报告出来了suv值好高担心
图片尺寸980x1307
pet/ct示右肺下叶内侧基底段见沿支气管走行软组织密度影,最大suv值约
图片尺寸714x546
最近刚做了petct检查,报告单上说的suv是什么意思?检查肝脏的.
图片尺寸400x600
pet-ct检查大揭秘_诊断_suvmax_代谢
图片尺寸840x540
petct检查那么贵是不是能查出所有恶性肿瘤癌
图片尺寸520x436
从容应对这台suv麋鹿测试成绩不容小觑
图片尺寸562x495
petct suv值
图片尺寸350x244
急性st段抬高型心肌梗死一例
图片尺寸809x605
配置丰富,可油可电无里程焦虑!这款suv是你想要的吗
图片尺寸721x304
在紧凑型suv与中大型suv领域的映射下,我们不难发现最近几年中型suv的
图片尺寸640x910
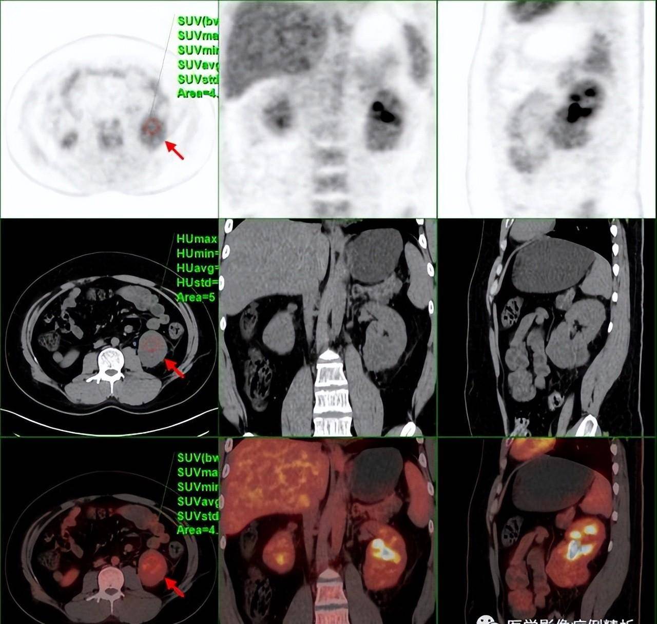
vhl综合征(林岛综合征)pet-ct影像诊断及鉴别诊断_病变_代谢_分析
图片尺寸1280x1216