picc置管影像

经外周静脉置入深静脉导管(picc)——x线影像相关问题及解决方案
图片尺寸2666x2000
经外周静脉置入深静脉导管(picc)——x线影像相关问题及解决方案
图片尺寸2666x2000
我院导管门诊成功为心脏起搏器患者置入picc导管
图片尺寸740x738
picc导管尖端定位怎么看一个案例告诉你
图片尺寸552x542
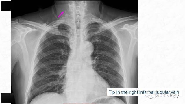
一例picc导管尖端移位于颈内静脉的处置对策
图片尺寸769x467
安康市中医医院血液风湿科开展首例picc置管术
图片尺寸487x470
血液内分泌之picc篇
图片尺寸1080x810
picc尖端的胸片定位_影像
图片尺寸640x360
picc置管病人dr分析
图片尺寸2023x2000
绥阳县人民医院成功实施首例picc 置管术
图片尺寸1080x3689
经b超引导颈内静脉置入picc管在临床中的应用
图片尺寸640x889
经外周静脉置入深静脉导管(picc)——x线影像相关问题及解决方案
图片尺寸2666x2000
经外周静脉置入深静脉导管(picc)——x线影像相关问题及解决方案
图片尺寸2666x2000
我院新生儿科成功实施第二例新生儿picc置管术
图片尺寸2000x2667
横峰县人民医院成功置入一例picc导管
图片尺寸1440x1080
德州市中医院成功开展首例超声引导下股静脉picc置管术
图片尺寸825x1405
经外周静脉置入深静脉导管(picc)——x线影像相关问题及解决方案
图片尺寸2666x2000
经外周静脉置入深静脉导管(picc)——x线影像相关问题及解决方案
图片尺寸2666x2000
大埔县人民医院新生儿科成功开展两例新生儿picc置管术
图片尺寸664x292
picc尖端的胸片定位_影像
图片尺寸640x360