picc置管术胸片

安康市中医医院血液风湿科开展首例picc置管术
图片尺寸487x470
picc置管术后胸片的必要性!
图片尺寸754x747
置管后的胸片提示
图片尺寸527x400
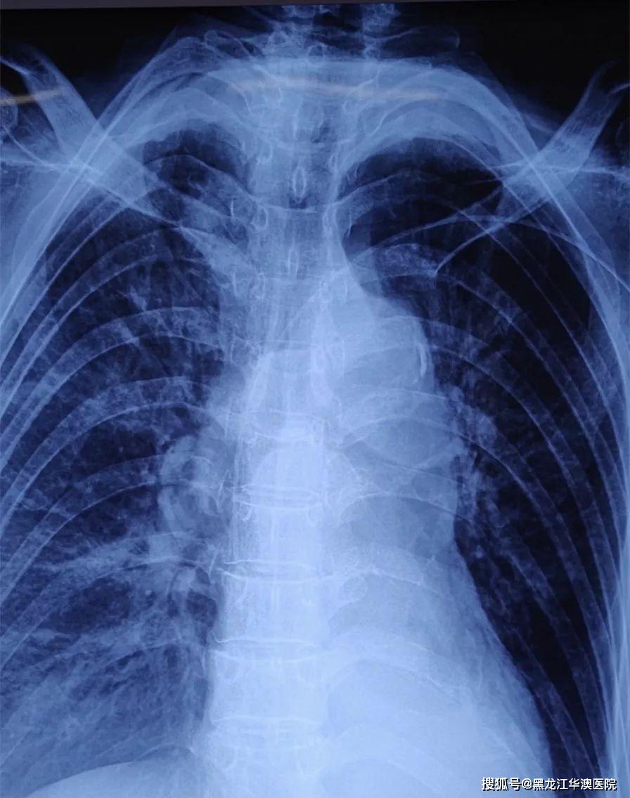
术后拍摄胸片,picc尖端定位良好.
图片尺寸2000x2667
picc置管术后胸片的必要性!
图片尺寸856x762
picc置管:一条安全有效的生命通道,为患者减少治疗痛苦
图片尺寸896x1136
图片(▲上图为静疗小组置管中和置管后胸片结果示导管尖端位置理想)
图片尺寸693x678
我院成功开展超声引导下picc置管技术
图片尺寸670x707
这家医院静疗团队又成功完成一例picc置管术
图片尺寸503x250
原创科普丨打开生命通道的picc置管术,您必须知道的那些事儿
图片尺寸1080x809
picc置管新台阶
图片尺寸2180x1999
picc导管健康宣教
图片尺寸720x540
一例picc导管反复异位的护理案例分享
图片尺寸531x436
大邑县妇幼保健院成功开展新生儿picc置管术
图片尺寸600x450
picc尖端的胸片定位
图片尺寸640x360
血液内分泌之picc篇
图片尺寸1080x810
胸部正位片验证picc_梁明柱
图片尺寸640x480
白血病 昨天就带弟弟去picc门诊置管以及拍胸片
图片尺寸1080x1440
我院新生儿科成功实施第二例新生儿picc置管术
图片尺寸2000x2667
横峰县人民医院成功置入一例picc导管
图片尺寸1440x1080