pipeline支架

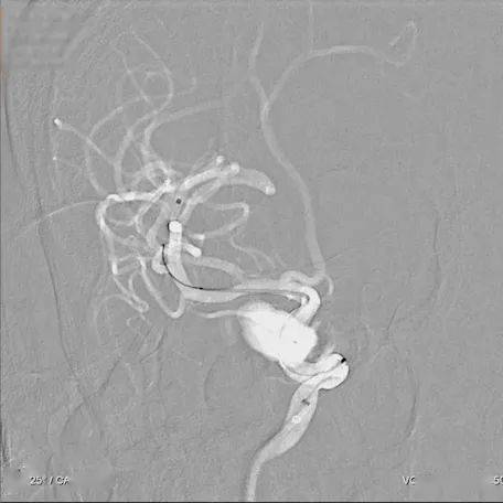
据fda官网发布的信息,用于在患者血管内放置,收回或移动pipeline flex
图片尺寸498x379
美敦力pipelineflex密网支架 图源美敦力官网
图片尺寸700x446
美敦力又一产品pipeline密网支架面临最高级别召回
图片尺寸1190x764
美敦力pipelinetmflex血流导向密网支架巧拆颅内不定时炸弹
图片尺寸600x400
青海红十字医院神经外科应用pipeline密网支架治疗颅内多发动脉瘤取得
图片尺寸3024x4032
pipeline血管重建密网支架:颅内动脉瘤血流可视化(cfd模拟)
图片尺寸1728x1080
病例夹一例pipelineflex治疗海绵窦段大动脉瘤支架尾端与危险的穿支
图片尺寸750x1000
影响pipeline flex血流导向密网支架手术成功的关键因素_血小板_贴壁
图片尺寸1080x616
图2 pipeline实体pipeline密网支架是目前国际上治疗巨大复杂动脉瘤的
图片尺寸350x241
密网支架pipeline分期治疗双侧颈内动脉临近多发微小动脉瘤
图片尺寸401x355
郑东院区神经介入科完成首例pipeline支架治疗颅内巨大动脉瘤
图片尺寸675x1400
膨,电解脱,开放卷曲,径向支撑力强,可回收血流导向栓塞器械 pipeline
图片尺寸322x315
pipeline密网支架血流导向装置治疗大型动脉瘤
图片尺寸2560x1920
精准治疗pipeline64flex血流导向密网支架手术录播病例
图片尺寸576x576
精准治疗pipeline64flex血流导向密网支架手术录播病例
图片尺寸456x456
精准治疗pipeline64flex血流导向密网支架手术录播病例
图片尺寸576x576
河南省介入治疗中心脑血管病区率先实施颅内动脉瘤pipeline支架血流
图片尺寸580x435
保持导丝通路支架稳定释放
图片尺寸717x508
高歌教授:交叉释放 化繁为简-pipeline flex血流导向密网支架治疗前
图片尺寸653x653
大脑中动脉m1段动脉瘤的pipeline治疗 - 好大夫在线
图片尺寸554x194