rathke囊肿

看完14个病例一起来认识这个表现多样的rathkes囊肿
图片尺寸1080x881
rathke囊肿影像诊断要点 – 影像ppt
图片尺寸557x376
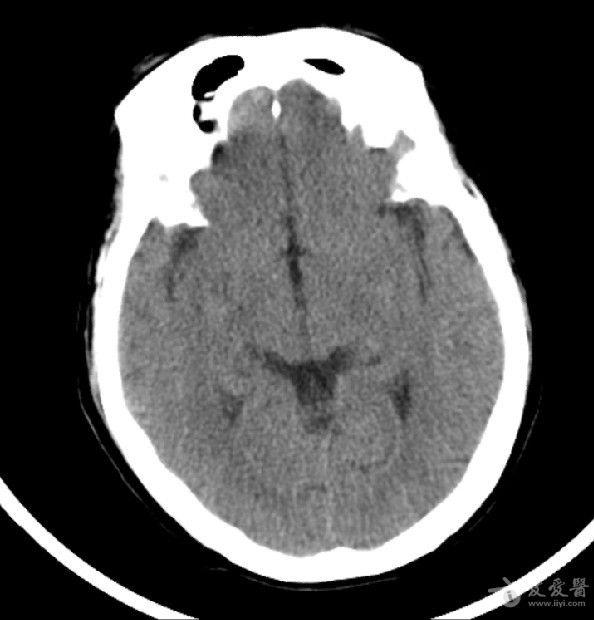
病例30rathke囊肿
图片尺寸614x628
【临床病例分析】鞍区rathke囊肿的诊断及治疗方案
图片尺寸730x678
rathke囊肿的磁共振表现
图片尺寸540x600
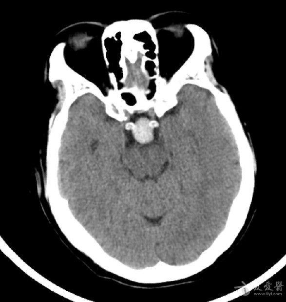
病例30:rathke囊肿
图片尺寸620x625
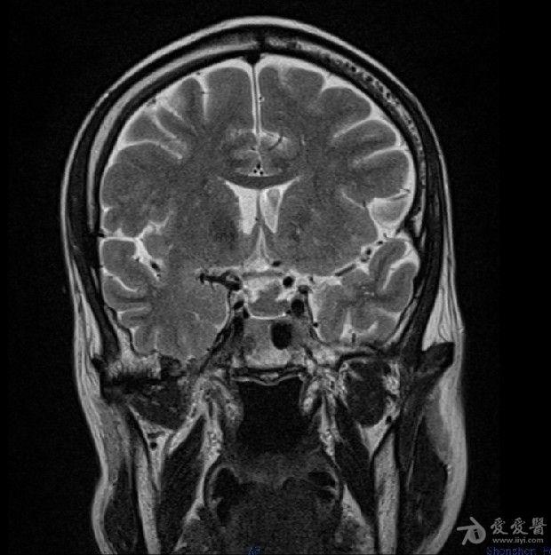
病例30:rathke囊肿
图片尺寸616x627
【临床病例分析】鞍区rathke囊肿的诊断及治疗方案
图片尺寸496x527
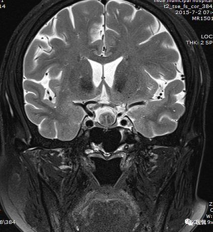
病例30:rathke囊肿
图片尺寸594x620
看完14 个病例,一起来认识这个表现多样的 rathkes囊肿
图片尺寸1080x894
神经内镜下治疗rathke囊肿
图片尺寸800x450
rathke囊肿,经鼻微创手术轻松切除_垂体瘤_症状表现_治疗方式 - 好
图片尺寸1600x1205
垂体rathke囊肿你见过这种影像表现吗注意鉴别诊断
图片尺寸424x460
病例30:rathke囊肿
图片尺寸587x618
垂体rathke囊肿你见过这种影像表现吗注意鉴别诊断
图片尺寸483x447![【读片】rathkes囊肿? [病例帖]](https://imgs.wantubizhi.com/img/A1A61BAA66193547F3A6DD7D8EE527E9E6202E9F594E50018A251C1C56B7E84B5F1FB45F17A95E613FCDADB9BC8BFE1120ACAA0428EC9FE491668CF4AB172510E8AC6CD030D877D6F84EF79D2BEB5ACCF6F016C67333A5494450D983DBF27E54)
【读片】rathkes囊肿? [病例帖]
图片尺寸640x814
rathke囊肿的磁共振表现
图片尺寸652x623
垂体rathke囊肿你见过这种影像表现吗注意鉴别诊断
图片尺寸474x456
经鼻蝶神经内镜下rathke囊肿切除术1例
图片尺寸420x614
垂体rathke囊肿你见过这种影像表现吗注意鉴别诊断
图片尺寸486x443