revolutionct

ge医疗超高端256排revolutionct产品线正式投产
图片尺寸670x428
新一代ct成像系统revolutionct正式投入使用
图片尺寸560x452
ct云课堂强化培训revolutionct冠脉检查技术要点
图片尺寸1772x1017
美国ge revolution 256排512层超高端能谱ct
图片尺寸1017x670
revolution ct全面临床解决方案 山西医科大学第二医院影像科 ct 室
图片尺寸1200x1600
revolution ct临床病例3——1-beat:左冠状动脉先天变异
图片尺寸677x691
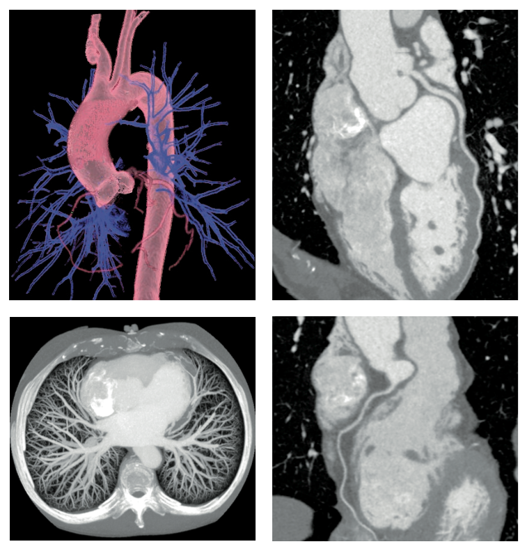
revolution ct临床病例5——完美的胸痛三联检查
图片尺寸757x791
我院引进ge公司全新一代revolutionct完成不可能挑战
图片尺寸800x504
revolution ct
图片尺寸4000x2000
赤峰学院附属医院最新引进超高端,百万高清revolution ace人工智能ct
图片尺寸3000x2000
两江新区中医院引进后超高端ge256排revolution ct!_成像_检查_心脏
图片尺寸1080x720
赤峰学院附属医院最新引进超高端,百万高清revolution ace人工智能ct
图片尺寸3000x2000
两江新区中医院引进后超高端ge256排revolution ct!_成像_检查_心脏
图片尺寸1080x720
美国 ge revolution hd 宝石能谱超高端ct
图片尺寸5040x3360
医院再引进一台gerevolution超高端螺旋ct
图片尺寸868x523
世界顶级revolution ct检查
图片尺寸750x906
患者福音gerevolutionct机落户我院安装完毕
图片尺寸400x528
海南省中医院医学影像科revolutionct高级应用沙龙
图片尺寸1280x720
"抽丝剥茧,狭窄无处可遁"——运城市中心医院ge 256revolution ct病例
图片尺寸1080x1328
简单归纳一下revolution ct的功能优势
图片尺寸1439x1595