sertolicell

医学 129组织胚胎学课件@21_男性生殖系统ppt 支持细胞(sertoli cell)
图片尺寸1080x810
图12a,高分化slct示开放的sertoli小管,混杂丰富的簇状leydig细胞,胞
图片尺寸999x743
支持细胞(sertoli cells)就是钢筋结构的框架
图片尺寸529x484
支持细胞(sertoli cell) lm:细胞轮廓不清,核呈三角形或 不规则性
图片尺寸1080x810
spermatogenesis occurs withing the sertoli
图片尺寸500x422
sertoli-leydig细胞瘤
图片尺寸220x141
支持细胞(sustentacular cell)(图 18-1-7),又称sertoli细胞.
图片尺寸2048x1536
右卵巢囊实性混合型包块:中度分化的sertoli-leydig cell tumor讨论
图片尺寸1280x960
maturation arrest及sertoli cell only两种通常找到精虫的机会不高
图片尺寸540x283
sertoli cells) are not in
图片尺寸368x500
专访华卫恒源丨国际首创利用ipsc批量生产人源sertoli细胞
图片尺寸660x911
塞尔托利氏细胞(sertoli cell),又名为塞托利细胞或塞透力细胞,是细精
图片尺寸300x233
一抹见真章,千呼万唤始出来
图片尺寸540x283
形状不规则的支持细胞(sertoli cell)排列在管腔周围
图片尺寸620x318
你真的了解这款保胎神药的功能吗?
图片尺寸562x398
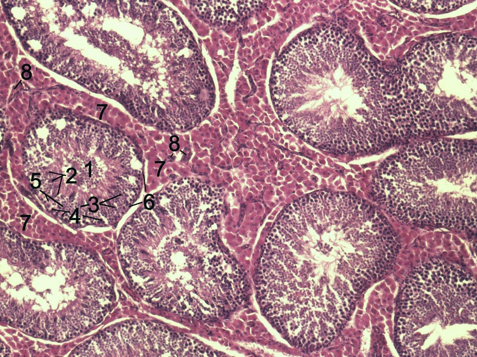
1个tub血管腔,2个精细胞,3个精母细胞,4个精原细胞,5个sertoli细胞,6
图片尺寸1600x1200
20190715102147_b942f6.jpg
图片尺寸500x713
sertoli cell proliferation antibodies
图片尺寸650x445
胚胎早期发育1read支 持 细 胞 (sertoli cell)形 态 结 构61 高 锥
图片尺寸500x375
车路演项目 | 具有免疫豁免能力的重编程细胞及其应用项目_sertoli
图片尺寸1080x608