spee曲线

测量spee的曲线高度
图片尺寸591x357
spee曲线?认识spee曲线及其测量方法
图片尺寸640x360
正畸中为什么要整平spee曲线
图片尺寸1080x1439
鼻托,指针暗锁设计,避免操作过程中脱落 颌叉模拟spee曲线设计,更
图片尺寸640x558
spee曲线
图片尺寸224x202
正畸中为什么要整平spee曲线
图片尺寸1080x1439
(一)spee曲线:它是连接下颌切牙的切嵴,尖牙的牙尖以及前磨牙,磨牙的
图片尺寸496x326
正畸中为什么要整平spee曲线
图片尺寸1080x1439
的协调比例头影侧位片测量分析㈩ 上下中线正;㈨ spee曲线深约3mm;㈧
图片尺寸829x381
上牙弓拥挤2mm;下牙弓拥挤0.5mm 2.spee曲线深度:左侧1mm;右侧2mm 3.
图片尺寸1025x466
覆盖5mm,覆合3mmspee曲线深约1mm,前牙bolton比:78%,全牙bolton比:92%
图片尺寸640x360
spee曲线
图片尺寸360x360
病案
图片尺寸1200x1765
牙根位于基骨中央,牙冠倾斜度适当,以达到良好的咬合接触;spee曲线
图片尺寸900x600
8,改善spee曲线 通过邻面去釉获得间隙,可以改善过陡的spee曲线.
图片尺寸941x983
仁爱口腔严重突面畸形的矫形治疗
图片尺寸1400x733
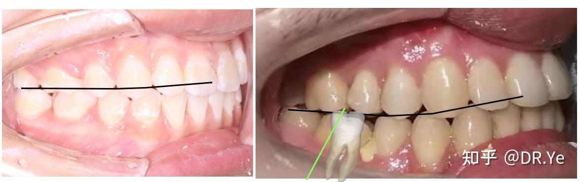
在于上下牙列纵合曲线的控制(医生常说的spee(斯匹)曲线)绿线代表了
图片尺寸1178x370
病案
图片尺寸1799x1199
病案
图片尺寸1799x1199
大赛一等奖正畸病例分享:微种植体支抗辅助矫治成人骨
图片尺寸560x810