trichrome染色

he染色 ↑血管内 皮
图片尺寸1080x810
通过trap染色,破骨细胞在显微镜下可以被染成酒红色,从而观察到各异的
图片尺寸663x481
sd大鼠肝脏he染色: 对照组: 造模组: 干预组
图片尺寸2592x1944
trap染色求助
图片尺寸1920x1440
求助th免疫组化荧光染色
图片尺寸1920x1080
丁香园
图片尺寸738x974
降血脂口服药能治疗凶猛肺病
图片尺寸1440x1152
1/ 12 天狼猩红染色 4t1-6移植瘤12um切片 c57 心肌 trap染色 c57 con
图片尺寸2592x1944
trap染色求助
图片尺寸1920x1440
trichrome染色)小胶质细胞染色图示油红染色图示动脉粥样硬化病理变化
图片尺寸671x483
【求助】请教我的hoechst染色出了什么问题 lj000_81 10-20 21:07
图片尺寸1392x1040
7 破骨细胞 trap染色
图片尺寸1259x980
dab染色后,有阳性的片胞质也很黄,而且本人第一次做,傻傻分
图片尺寸680x512
trap染色
图片尺寸961x961
hoechst染色
图片尺寸1476x809
革兰染色成功114002016.11.
图片尺寸300x240
对照组与骨质疏松组的he染色和masson染色
图片尺寸1575x1549
烧伤疤痕增生压迫疗法影响增生性瘢痕中的胶原类型平衡
图片尺寸736x588
全部讨论(5) 07-30 14:25 做过皮肤的masson三色染色法,见下图,供参考
图片尺寸1280x1024
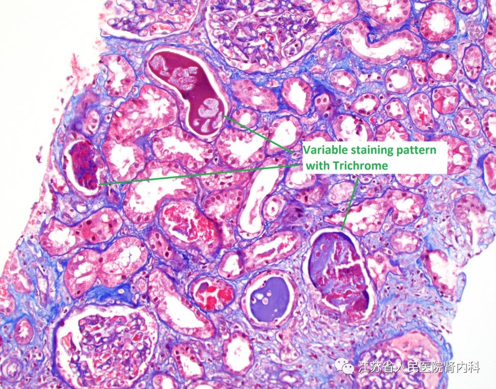
轻链管型肾病
图片尺寸974x764