tromner征

奥本汉姆征 oppenheim sign
图片尺寸1080x810
染色体病之特纳综合征/45,xo - 好大夫在线
图片尺寸730x554
骨科精读 | 这几个常见的神经卡压综合征,你会诊治几种?
图片尺寸898x638
retinoblastoma
图片尺寸1028x1198
和肾周血肿等可以导致腹腔和腹膜后初学的疾病都可以出现这样的体征
图片尺寸1080x1268
脊髓型颈椎病
图片尺寸553x347
留言解读tinel征
图片尺寸640x800
turner 综合症女孩和妇女的诊断与治疗ppt
图片尺寸1080x810
华法林导致不一样的grey turner征一例
图片尺寸466x392
10岁男孩暑假"听"成性早熟:育儿路上满是地雷,别让你的孩子成为下一个
图片尺寸1075x976
丁香园论坛
图片尺寸260x320
cullen征,turner征,你见过没?
图片尺寸334x485
心手足综合征holtoram综合征亚型
图片尺寸747x646
这些综合征包括1型神经纤维瘤病,2型神经纤维瘤病,vonhippel-lindau
图片尺寸2370x1950
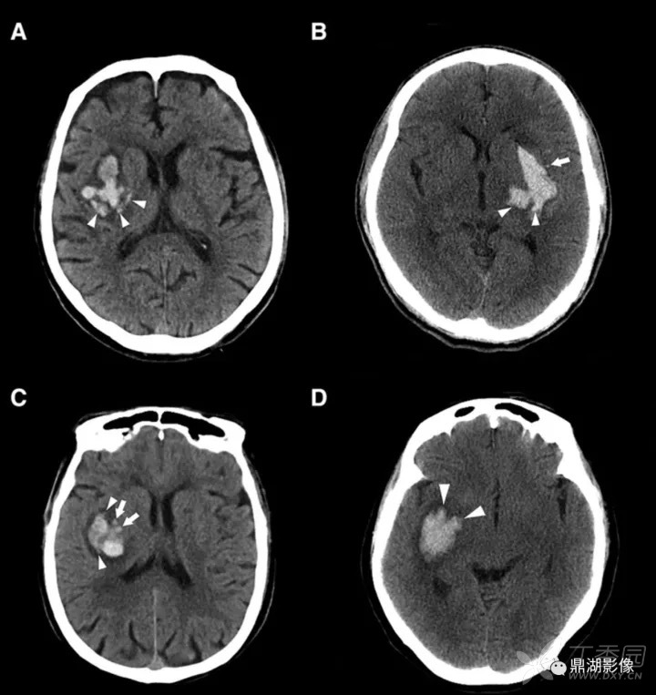
腻害了!李琦岛征:国际上首次以中国人名字命名脑血管疾病征象
图片尺寸720x763
你见过急性胰腺炎的两个体征吗?grey turner sign和cullen sign.
图片尺寸500x546
北京中日友好医院 王国春
图片尺寸419x245
grey turner sign
图片尺寸500x262
丁香园论坛
图片尺寸764x728
丁香园论坛
图片尺寸640x480