turner牙

什么是特纳牙
图片尺寸401x351
20岁女子出生后面部畸形 治疗后两门牙间距1.7厘米
图片尺寸605x442
孩子牙龈长包吃点消炎药就能好吗
图片尺寸1000x790
特纳氏牙(turner tooth)引起恒牙萌出顺序异常(2) 损伤口腔粘膜软组织
图片尺寸637x426
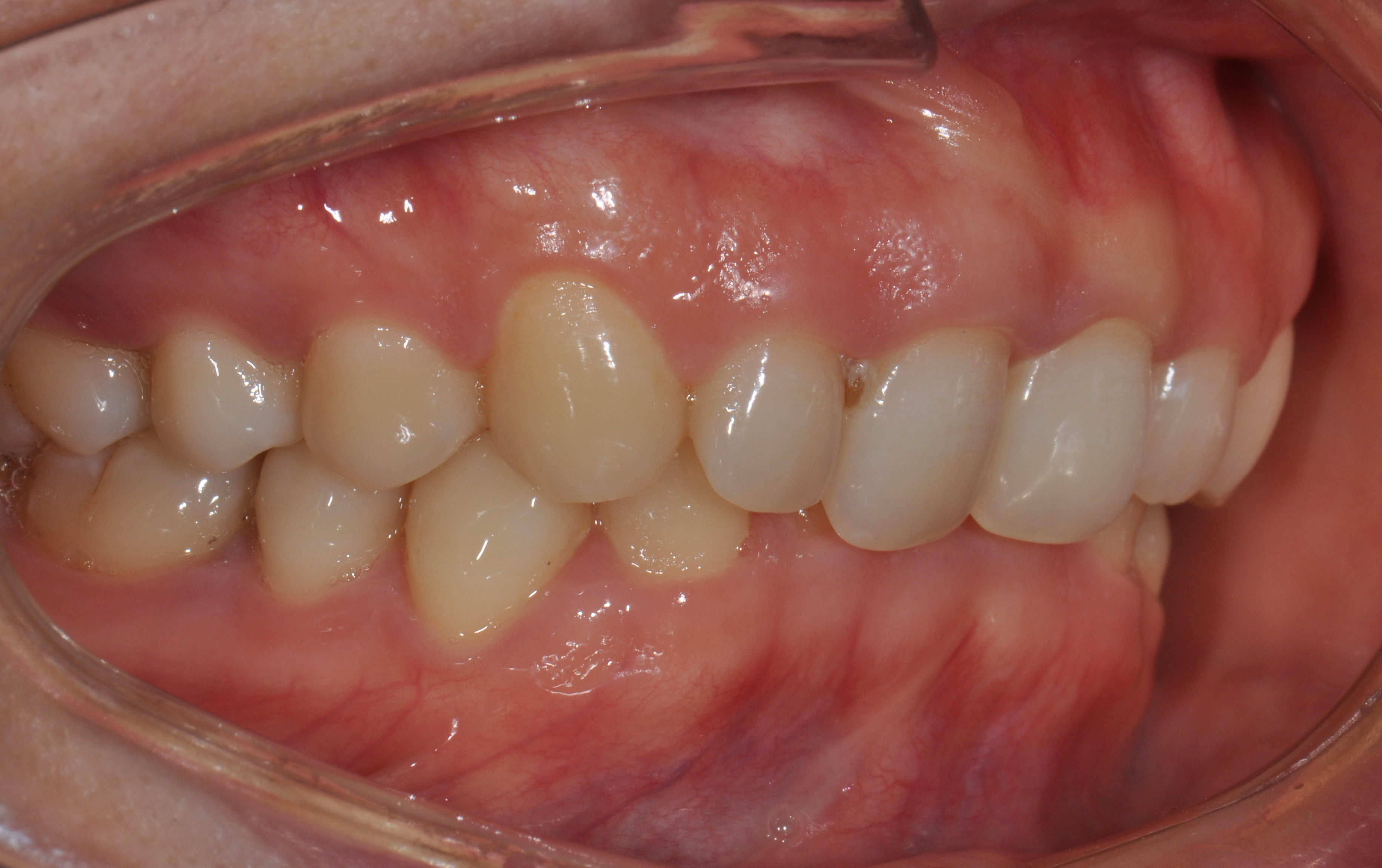
精密附着体修复双端游离端缺失
图片尺寸1311x816
儿童埋伏牙牵引改良nance弓_拔牙_治疗介绍_治疗方式 - 好大夫在线
图片尺寸523x546
让每一个儿童都绽放出最灿烂的笑容—多生牙的华丽蜕变
图片尺寸854x640
英国男童被同学打掉门牙 学校竟颁"换牙"奖章
图片尺寸550x365
儿童错牙合早期塑形治疗李小兵教授
图片尺寸1264x786
警惕孩子新换的后牙中间多了一个尖
图片尺寸818x522
tider台德儿牙专业基础9月无锡
图片尺寸720x540
于是我们开始了隐形矫治,解决上前牙内扣,并且将上前牙压低,最后解决
图片尺寸3663x2301
【经验交流】牙周整形外科之二:"隧道技术"---一种治疗轻度龈退缩的
图片尺寸880x794
牙医学堂过小侧切牙的直接修复
图片尺寸772x720
右侧上下阻生牙弯曲跟近90断根的舍与得
图片尺寸640x566
爱护牙齿 绽放笑容—牙医进校园活动
图片尺寸1800x1200
今年21岁,做牙齿正畸中,现在笑起来牙龈露的比较多,和医生讲了,他说
图片尺寸2592x1552
其它 一例活髓切断 写美篇隔日,弟妹突然微我"哥,牙劈了!
图片尺寸2667x2000
上颌第一双尖牙3牙根
图片尺寸620x620
母乳喂养美容记之烟熏柿子大白牙养成清单
图片尺寸1244x577