verocay小体

束状型(antoni a 型),存在栅栏状细胞包围的粉红色区域(verocay小体)
图片尺寸504x331
这些「病理小体」你都认识吗?| 一页手册 · 协和八
图片尺寸456x366
verocay body
图片尺寸477x595
神经鞘瘤典型情况下有a区和b区的结构,有verocay小体,不过,小活检组织
图片尺寸640x353
贝罗凯小体(神经纤维瘤的细胞旋涡)
图片尺寸550x362
贝罗凯小体(神经纤维瘤的细胞旋涡)
图片尺寸550x367
神经系统肿瘤
图片尺寸574x234
这些「病理小体」你都认识吗?| 一页手册 · 协和八
图片尺寸469x361
病理切片图片列表
图片尺寸639x374
鞘瘤改变,即富于细胞区完全或主要由antoni a区构成,无verocay小体
图片尺寸300x225
of the spindle-shaped cells arranged in characteristic "verocay
图片尺寸785x510
鞘瘤改变,即富于细胞区完全或主要由antoni a区构成,无verocay小体
图片尺寸300x240
与经典神经鞘瘤的区别在于很少形成verocay小体(即antoni b区).
图片尺寸640x480
贝罗凯小体(神经纤维瘤的细胞旋涡)
图片尺寸550x436
神经鞘瘤
图片尺寸800x600
鞘瘤改变,即富于细胞区完全或主要由antoni a区构成,无verocay小体
图片尺寸300x300
肿物)镜检为梭形细胞肿瘤,可见细胞稀疏区及密集区,并可见verocay小体
图片尺寸1000x1540
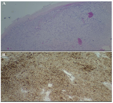
图2 病例显示包裹中着肿瘤的梭形细胞和verocay小体 术后1周,取出
图片尺寸392x357
两周效果图图2 病例显示包裹中着肿瘤的梭形细胞和verocay小体术后1周
图片尺寸412x310
三叉神经鞘瘤由antoni-a区(verocay小体)和antoni-b区组成,囊性变
图片尺寸500x334