wernicke korsakoff

good morning, afc north! wernicke korsakoff
图片尺寸1000x600
wernicke-korsakoff综合征(韦尼克脑病)
图片尺寸1352x780
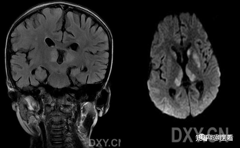
wernicke脑病mri表现
图片尺寸835x514
科尔比-考文顿!
图片尺寸3130x1957
paul broca,1824╟1880)和德国人 卡尔 · 韦尼克(carl wernicke
图片尺寸400x532
good morning, afc north! wernicke korsakoff
图片尺寸1000x600
good morning, afc north! wernicke korsakoff
图片尺寸850x560
good morning, afc north wernicke korsakoff
图片尺寸620x413
good morning, afc north! wernicke korsakoff
图片尺寸777x437
酒精引起wernicke 脑病,korsakoff 综合征,原发性胼胝体变性,酒精性
图片尺寸1240x1753
胰腺外伤后伴wernicke-korsakoff综合征1例
图片尺寸1395x1990
格伦·麦克斯韦板球-体育运动主题壁纸
图片尺寸2560x1600
deficiency is implied in pathogenesis of wernicke-korsakoff
图片尺寸539x698
【求助】谁发现了听辐射
图片尺寸822x614
wernicke-korsakoff综合征-病症中心-河北盛景和医药科技有限公司
图片尺寸300x300
hyperemesis gravidarum:hg,妊娠剧吐wernicke-korsakoff syndrom,wks
图片尺寸1080x1440
我不管我就要选13号盘点nba现役的13号球员
图片尺寸1805x1015
mri study of diencephalic amnesia in wernicke–korsakoff
图片尺寸1001x1280
抢走乔丹mvp的都有谁?其中一个竟只获得过二阵!
图片尺寸3600x2398
heschl 回 (brodmann area 41, 42)轴向切片上的 broca 和 wernicke
图片尺寸900x900