x光下避孕环图片

检查可确定节育器的位置和形状,判断有无异常情况,从而保证避孕效果
图片尺寸300x179
宫内节育器的x线标准ppt
图片尺寸800x600
有金属节育环的椎间盘突出患者到底能不能做核磁共振
图片尺寸429x690
其它 "调皮"的宫内节育器 近日,我院妇科接诊了一例困难型取环
图片尺寸2446x2446
罕见避孕环从子宫跑到了膀胱里大便跑到了小便里
图片尺寸512x512
女人绝经后到底要不要将避孕环取出别再犯错了
图片尺寸640x786
避孕环有大小型号之分吗
图片尺寸700x397
病例2:患者一直误以为节育环脱落而再次上环,其实节育器已经完全"游走
图片尺寸640x480
避孕环断裂一例
图片尺寸240x320
术中x光,可清晰看到节育环据介绍,张女士今年27岁,2019年6月生完第
图片尺寸600x564
听着就疼13岁男孩把70厘米的电线塞进尿道里原因竟是
图片尺寸1080x810
避孕环是什么原理避孕环节育环宫内节育器是个啥
图片尺寸640x607
避孕环是什么样子图片上环后图片
图片尺寸501x254
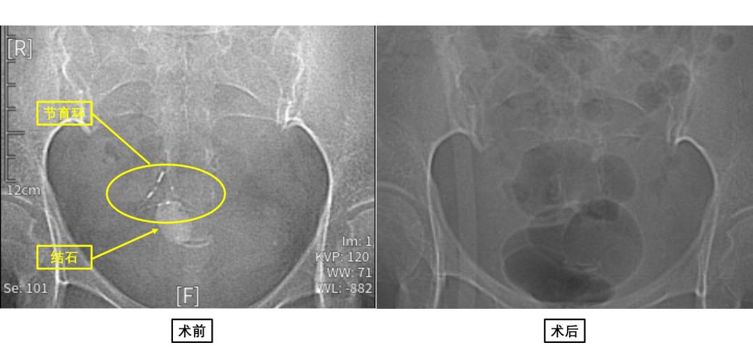
20多年前迷失的节育环竟然长出了膀胱结石
图片尺寸1080x505
避孕环的副作用
图片尺寸400x300
避孕环是什么样子的
图片尺寸607x405
常见避孕环类型
图片尺寸640x480
节育环避孕环是什么样子图片带铜t形节育环使用最广泛
图片尺寸613x322
避孕环对女性有伤害吗 比上环更好的避孕方法
图片尺寸621x455
避孕环的种类
图片尺寸468x290