xo染色体

为什么要做染色体检查?
图片尺寸554x504
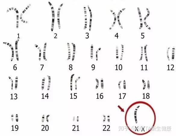
少了条x染色体的女性,称为turner综合征,核型为(45,xo).
图片尺寸584x450
但究其根本,男性和女性最本质的差别便在于性染色体不同.
图片尺寸768x513
detection of up to 65% of precancerous lesions
图片尺寸648x456
15岁女孩比同龄人矮一个头 原因竟是少了条染色体
图片尺寸384x308
用交通来揭秘为什么x染色体如此奇特
图片尺寸754x591
精准医学中心-染色体核型分析上线啦!
图片尺寸1232x912
如何解读人类染色体核型分析报告转载
图片尺寸642x421
流程!8号染色体缺失怎么办"透明合理"-第1张图片-宝临网
图片尺寸1615x2140
差了一条性染色体的女人和男人
图片尺寸642x317
雌虫有两条x染色体(xx),雄虫只有一条x染色体(xo)
图片尺寸349x135
【孕产课堂】反复流产,原来是染色体"出错"了!
图片尺寸464x438
45xo染色体形成的原因及常见的症状介绍
图片尺寸800x600
如果男性多一条y染色体会怎么样?1000人中有1个,比男人还男人
图片尺寸426x305
人类染色体与染色体病ppt
图片尺寸1080x810
3《dna的复制》ppt课件
图片尺寸1080x810
如图是某人的染色体组型,下列说法正确的是()a.该个体为三倍体
图片尺寸204x181
细胞染色体核型分析技术服务
图片尺寸940x731
男性染色体为xy 女性染色体为xx y染色体男性独有女性是 - 抖音
图片尺寸1280x992
18学年高中生物染色体与遗传第三节性染色体与伴性遗传第1课时教学案
图片尺寸390x435